“당신의 뇌는 정말로 필요한가?(Is your brain really necessary?)”
1980년 과학 학술지 ‘사이언스’에 게재된 영국 셰필드대학 신경해부학 교수 존 로버(John Lorber)의 논문 제목이다.
이 도발적인 제목으로 해당 논문은 전 세계적으로 큰 파장을 일으키게 된다.
존 로버 교수에게 하루는 한 학생이 두통으로 인해 찾아왔다.
학생은 머리에 통증을 호소했다. 부풀어 오르는 ‘부종’의 느낌이 들어서 왔다고 했다.
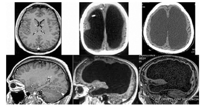
존 로버는 증상의 원인을 파악하기 위해 뇌 CT를 촬영하게 된다. 그러나, 그는 촬영 결과를 보고 소스라치게 놀라게 된다.
학생의 두개골 안에는 뇌가 없었던 것이다. 뇌가 있어야 할 부분에는 가득찬 뇌척수액만이 있었다.
극도로 심한 뇌수종(Hydrocephalus)으로 인해 이와 같은 현상이 일어나게 된 것이었다.
정상인의 뇌의 무게는 약 1.5kg 정도지만, 그 학생의 머리에는 약 300g 남짓의 뇌척수액과 이를 감싸고 있는 얇은 막만 존재했다. 사실상 뇌가 없는 상태였다.
충격적인 사실은 여기서 끝나지 않았다. 학생은 일상생활에 전혀 지장을 느끼지 못했고, 심지어 지능지수 126에 성적도 우수한 우등생이었다는 것이다.
존 로버는 믿지 못할 사실을 자세히 확인하기 위해 연구를 진행했다. 그 학생과 비슷한 뇌수종 환자 600명의 뇌를 정밀 관찰했다.
그 결과 전체 환자 중 60명이 뇌의 95%가 없는 상태였다. 그중 절반은 심각한 장애를 앓고 있었지만, 나머지 절반은 지능지수 100이 넘는 정상인이었다.
해당 사실이 사이언스를 통해 세간에 알려지자 전 세계 수많은 학자들은 충격을 금치 못했다.
일부 뇌과학자들은 “존 로버가 뇌 CT 사진을 잘못 해석한 것”이라고 지적하며 근거 없는 낭설로 치부했다.
하지만 존 로버의 연구 결과를 지지하며 의견을 더하는 학자들도 있었다. 영국의 저명한 신경과학자인 패트릭 월(Patrick David Wall)은 “실제로 가능하며 이같은 사례가 종종 있다”고 옹호했다.
또한 캐나다 신경과학자 존 앤드류 아머(John Andrew Armour)는 “장기의 신경 세포가 뇌의 역할을 대신해 기억을 저장한다”라는 ‘세포기억설’까지 주장했다.
실제로 다른 사람의 장기를 기증받은 후 성향이 정반대로 변했거나 장기 기증자의 기억과 경험을 떠올리는 사례를 예로 들었다.
물론 여전히 전문가들과 학자들은 이러한 현상이 우연의 일치일 뿐이라며 논란을 일축하고 있다.
그러나 한 가지 분명한 점은 지난 1980년 사이언스지의 충격적인 보도 이후 끊임없이 보고된 사례들과 주장이 뇌과학 기류에 변화를 가져왔다는 것이다.
뇌과학은 더이상 뇌와 뉴런 자체가 아닌 그 연결성에 초점을 맞추는 방향으로 선회했고, 뉴런과 세포 간의 긴밀하게 형성된 네트워크를 파헤치는 작업이 현재 진행 중이다.
해당 사실은 최근 과학 잡지 ‘디스커버매거진’을 통해 보도되며 다시 한번 화제를 일으켰다.






