한 온라인 커뮤니티에 올라온 글이 화제가 됐다.
글을 작성한 A씨는 “아파도 양악수술을 하는 진짜 이유”라는 제목의 글로 많은 이들의 이목을 집중시켰다.
양악수술은 이렇다.
악(顎)교정술(턱의 위치나 모양을 변형시키는 수술)의 일종으로 윗턱인 상악(上顎)과 아랫턱인 하악(下顎)을 함께 수술하는 경우 양악(兩顎)수술이라 칭한다. 쉽게 말해 코 밑부터 아래턱 뼈 부분을 잘라내서 턱을 축소시켜, 얼굴을 바꾸는 치과 영역의 대수술.
양악수술을 하는 방법은 상악과 하악의 뼈를 잘라서 2개로 분리한 다음 정상 교합에 맞게 상악과 하악의 뼈를 이동시키고 이동된 뼈를 고정하는 방법이다. 뼈를 이동하는 대수술인 만큼 수술은 전신마취로 진행되며 보통 3일~7일 정도 입원하게 된다.
현존하는 의학 수술 중에 가장 외모 개선 효과가 크다. 얼굴형이 아예 바뀌어 버리니 인상과 외모가 아예 달라지게 된다.
이렇게 대수술을 거치고 난 이후 해외 환자의 모습은 이렇다.
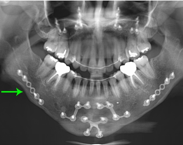
양악수술 한 사람의 엑스레이 상태

_1667154200.png)
_1667154202.png)
_1667154204.png)
_1667154205.png)
_1667154207.png)
_1667154209.png)
_1667154210.png)
_1667154212.png)
_1667154213.png)
_1667154214.png)
[저작권자 NEWSNACK/ 무단복사, 무단전재 및 재배포 금지 (위반 시 법적조치)]






