코로나로 인해 전세계거 고통받고 있는 상황에. 중국에서 폐결핵 집단감염이 일어나고 있다는 사실이 중국 누리꾼의 폭로로 인해 알려졌다.
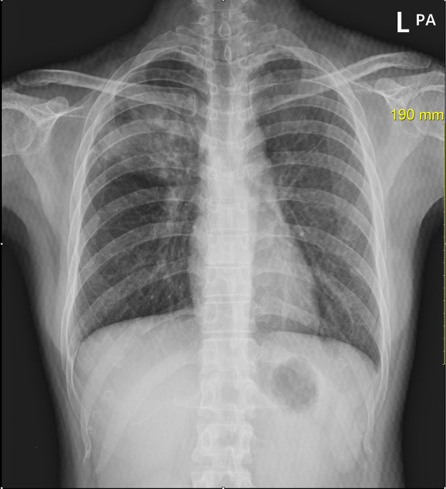
중국 장쑤성의 장쑤사범대 내에서 학생들이 무더기로 결핵에 감염되었는데 이들 학생들의 CT촬영에서 심각한 폐손상이 나타났다.
22명의 무더기 환자에 더해 43명의 학생들이 통증을 호소하고 있다.
중국 보건당국과 학교는 지난해말부터 시작된 이 폐결핵 감염을 외부에 비밀로 하고 적극 대응 또한 하지 않았는데, 이 같은 내용이 인터넷을 통해서 알려지게 되자 학교는 급하게 공지를 올리며 “담당 팀을 꾸려서 폐결핵 환자를 관리, 대응했다”고 주장하지만 비난 여론은 거세지고 있다.
일각에서는 코로나 때와 같이 상황을 은폐하려는 시도가 다시 일어난 것이 아니냐는 비난과 걱정이 일고 있다.
[저작권자 VONVON/ 무단복사, 무단전재 및 재배포 금지 (위반 시 법적조치)]


					


